Địa chỉ: 305 Hùng Vương, P. 9, Q. 5, TP. HCM | Hotline: 0987 987 055
ID4 IMPLANT CENTER
  • iD4 Solution
  • iD-4 implant
  • Dán sứ
  • Nha Khoa Tổng Quát
    • Răng Sứ Thẩm Mỹ
      • Dán sứ
      • Phục hình Inlay/Onlay
    • Điều trị tụt nướu chân răng
    • Điều trị cười lộ nướu
    • Điều trị nha chu
      • Phẫu thuật lật vạt làm sạch
      • Điều trị LASER HELBO
    • Điều Trị Tủy
    • Cạo Vôi Răng
    • Trám răng
    • Tẩy Trắng Răng
    • Hàm giả tháo lắp
    • Nhổ răng
  • Kết quả điều trị
    • Implant đơn lẻ
    • Nha khoa thẩm mỹ
    • Dán sứ
    • Điều trị tụt nướu chân răng
    • Bọc răng sứ thẩm mỹ
    • Điều trị cười lộ nướu
    • Điều trị nha chu
      • Điều trị LASER HELBO
      • Phẫu thuật lật vạt làm sạch
    • Nha khoa tổng quát
      • Cạo vôi răng
      • Điều trị tủy
      • Trám răng
      • Inlay/Onlay – Miếng trám sứ
  • Về iD-4
    • Kiến thức
      • Implant
      • Nha khoa tổng quát
      • Răng sứ
    • Bảng giá
      • Nha khoa thẩm mỹ
      • Nha khoa tổng quát
      • Trồng răng Implant
    • Đội ngũ
    • Liên hệ
Search

Phục Hình Inlay, Onlay, Overlay: Giải Pháp Xâm Lấn Tối Thiểu Cho Nụ Cười Hoàn Hảo Của Bạn

iD-42025-11-03T18:16:13+07:00

Nội dung

Toggle
  • 1. Inlay, Onlay, Overlay là gì?
  • 2. Ưu điểm vượt trội của phục hình Inlay, Onlay, Overlay
  • 3. Hạn chế cần lưu ý
  • 4. Ai nên và không nên làm phục hình Inlay, Onlay, Overlay?
  • 5. Các trường hợp không nên làm:
  • 6. Quy trình thực hiện Inlay/Onlay/Overlay sứ

Trong nha khoa hiện đại, điều quan trọng nhất là giữ lại tối đa mô răng thật và chỉ can thiệp ở mức cần thiết. Chính vì vậy, các phương pháp phục hình xâm lấn tối thiểu ngày càng được ưa chuộng, trong đó có Inlay, Onlay và Overlay.

Nếu như trước đây răng bị sâu lớn, mẻ hoặc vỡ thường phải bọc mão sứ toàn phần (mài đi nhiều mô răng), thì nay với sự phát triển của kỹ thuật dán dính và công nghệ CAD/CAM, bạn có thể lựa chọn Inlay – Onlay – Overlay.

1. Inlay, Onlay, Overlay là gì?

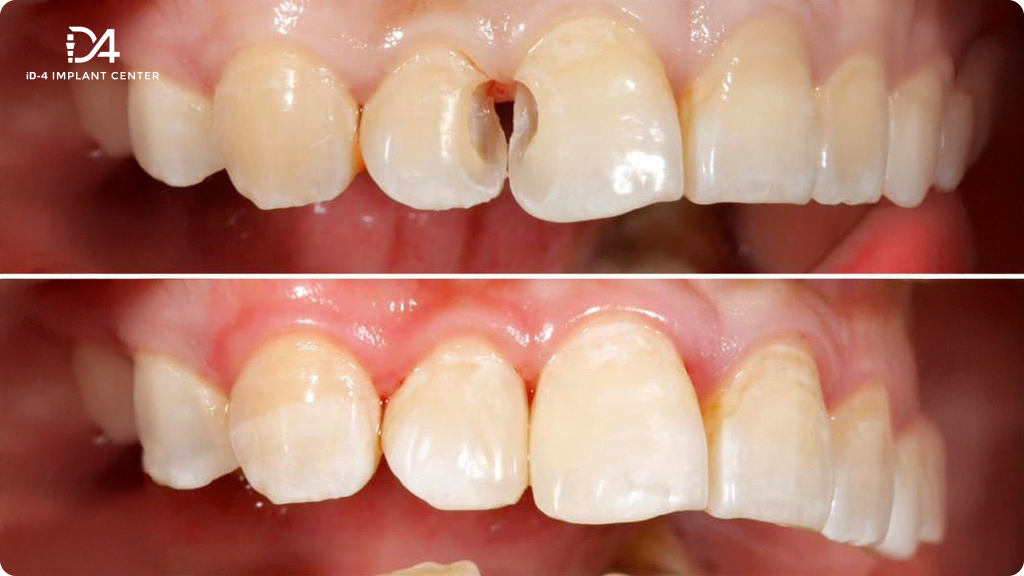
Về bản chất, Inlay, Onlay và Overlay đều là những vật liệu phục hồi hình thể răng, được chế tác gián tiếp tại phòng Lab (bên ngoài miệng) bằng sứ. Sự khác biệt giữa chúng nằm ở kích thước và phạm vi bao phủ trên bề mặt răng:

  • Inlay: Là miếng dán phục hồi nằm gọn trong nội phần múi răng, chưa vượt qua các đỉnh múi. Inlay thường được áp dụng cho các tổn thương nhỏ đến trung bình trên bề mặt nhai của răng, khi tổn thương chưa ảnh hưởng đến múi răng.
  • Onlay: Là miếng dán có kích thước lớn hơn Inlay, bao phủ ít nhất một múi răng nhưng không phủ toàn bộ các múi răng. Onlay được sử dụng khi lỗ sâu hoặc vết vỡ lớn hơn và đã tổn thương đến một hoặc vài múi răng.
  • Overlay: Là phục hình có phạm vi bao phủ lớn nhất trong ba loại, bao phủ toàn bộ các múi và mặt nhai của răng, được dùng cho răng bị tổn thương nghiêm trọng hoặc răng đã điều trị tủy. Overlay giúp khôi phục chức năng và hình dạng răng một cách tối ưu.

Cả Inlay và Onlay đều được chỉ định để điều trị những răng còn sống tủy nhưng bị sâu, mất chất nhiều, hoặc có thể dùng cho răng đã điều trị tủy. Việc chế tác gián tiếp ở phòng Lab giúp đảm bảo độ khít sát với mô răng, khắc phục khó khăn khi trám trực tiếp trong miệng.

2. Ưu điểm vượt trội của phục hình Inlay, Onlay, Overlay

  1. Bảo tồn mô răng tối đa: Đây là ưu điểm nổi bật nhất của Inlay/Onlay/Overlay. So với việc bọc mão răng phải mài đi nhiều mô răng thật, các phục hình này chỉ loại bỏ phần mô răng bị tổn thương, giúp giữ lại tối đa cấu trúc răng tự nhiên. Điều này đặc biệt quan trọng vì răng thật luôn là tốt nhất.
  2. Độ bền và ổn định cao:
    • Miếng dán được chế tác ở Labo với độ chính xác cao, đảm bảo khít sát với mô răng.
    • Tuổi thọ trung bình của miếng trám Inlay/Onlay thường kéo dài từ 10 đến 20 năm, thậm chí có thể là vĩnh viễn nếu được chăm sóc đúng cách.
  3. Tính thẩm mỹ cao:
    • Miếng dán Inlay, Onlay, Overlay sứ được sản xuất bằng công nghệ CAD/CAM hiện đại, cho màu sắc tự nhiên, hài hòa với răng thật và không bị ngả màu theo thời gian.
    • Giúp khôi phục hoàn toàn chức năng ăn nhai và đạt được vẻ đẹp tự nhiên, hài hòa với các răng còn lại.
  4. Bảo vệ sức khỏe răng miệng: Nhờ độ chính xác và khít sát cao, Inlay và Onlay ngăn chặn hiệu quả sự xâm nhập của vi khuẩn và mảng bám, bảo vệ răng khỏi sâu răng và các vấn đề răng miệng khác.
  5. Giải pháp lâu dài: Với chất lượng vật liệu tốt và kỹ thuật thực hiện chính xác, Inlay và Onlay có thể kéo dài tuổi thọ của răng, đảm bảo sự phục hồi lâu dài và bền vững.

3. Hạn chế cần lưu ý

  • Chi phí cao: Phục hồi Inlay, Onlay, Overlay sứ có chi phí cao, tương đương với bọc răng sứ. Tuy nhiên, xét về lâu dài, phương pháp này có thể tiết kiệm hơn nhờ tuổi thọ cao, giảm nhu cầu thay thế và sửa chữa.

  • Tốn thời gian: So với trám răng trực tiếp, Inlay, Onlay, Overlay cần ít nhất hai lần hẹn để hoàn thành.

4. Ai nên và không nên làm phục hình Inlay, Onlay, Overlay?

Chỉ định rộng rãi: Inlay, Onlay, Overlay có chỉ định rất rộng rãi, ngay cả với răng đã điều trị tủy. Chúng là lựa chọn lý tưởng cho các trường hợp răng bị sâu to, ở các mặt tiếp xúc bên của răng, hoặc khi việc trám trực tiếp có thể gây khó khăn trong việc kiểm soát các yếu tố bất lợi (như dịch nướu, nước bọt) ảnh hưởng tới độ bền của miếng trám.

5. Các trường hợp không nên làm:

  • Thay mão răng cũ: Khi răng đã mài đi hầu hết mô, không còn diện tích để dán dính, độ bền của phục hồi dán sẽ bị giảm, dễ gây bong sút.
  • Không còn men răng hoặc men răng kém chất lượng: Mất mô quá nhiều, thiểu sản men, hoặc chất lượng men quá kém sẽ không đảm bảo cho phục hồi dán, vì việc dán lên men càng nhiều càng tốt sẽ tăng độ bền dán.
  • Lỗ sâu rất nhỏ và nông: Ở những bề mặt có độ lưu giữ tốt, việc trám răng truyền thống vẫn đảm bảo độ bền lâu dài mà không cần thiết phải làm Inlay/Onlay.

6. Quy trình thực hiện Inlay/Onlay/Overlay sứ

Quá trình này thường diễn ra trong hai lần hẹn:

  • Buổi 1: Thăm khám, tạo hình răng và lấy dấu
    • Bác sĩ sẽ thăm khám, đánh giá tình trạng răng miệng và mức độ tổn thương, sau đó tạo hình răng phù hợp. Việc tạo hình răng không có một hướng dẫn chung cụ thể mà tùy thuộc vào hình thái lỗ sâu của từng cá nhân. Nha sĩ sẽ làm sạch, đánh giá lỗ sâu để quyết định phục hồi các múi răng với độ dày phù hợp cho miếng dán.
  • Sau đó, bác sĩ sẽ lấy dấu răng chính xác để gửi qua labo chế tác miếng dán Inlay/Onlay/Overlay.
  • Buổi 2: Gắn răng và hoàn thiện
    • Khi miếng dán đã được labo chế tác, bác sĩ sẽ thử miếng dán trên miệng để kiểm tra độ khít sát, khớp cắn và màu sắc.
    • Sau đó, phục hình sẽ được gắn lên răng bằng chất gắn chuyên dụng, với quy trình xử lý bề mặt răng và bề mặt dán phức tạp hơn phục hồi truyền thống.
    • Cuối cùng, bác sĩ sẽ đánh bóng và điều chỉnh khớp cắn để đảm bảo tính thẩm mỹ và chức năng ăn nhai tốt nhất.

Inlay, Onlay và Overlay là những giải pháp phục hình hiện đại, giúp răng hư tổn được khôi phục cả về chức năng ăn nhai lẫn vẻ đẹp tự nhiên, đồng thời tuân thủ nguyên tắc xâm lấn tối thiểu – bảo tồn tối đa răng thật.

Nếu Quý Khách có bất kỳ thắc mắc nào cần được giải đáp, xin vui lòng liên hệ với chúng tôi – đội ngũ Nha khoa Lê Hoàng luôn sẵn sàng đồng hành cùng Quý Khách trên hành trình chăm sóc nụ cười khoẻ đẹp.

Bài viết nổi bật

Phục Hình Inlay, Onlay, Overlay: Giải Pháp Xâm Lấn Tối Thiểu Cho Nụ Cười Hoàn Hảo Của Bạn
CẠO VÔI RĂNG – BÍ QUYẾT GIỮ GÌN HÀM RĂNG KHỎE MẠNH, SẠCH BÓNG VÀ RẠNG RỠ MỖI NGÀY

    • 305 Hùng Vương, P. 9, Q. 5, TP. HCM
      Xem bản đồ
    • (028) 62 712 780
    • Hotline: 0987 987 055
    • id4implantcenter@gmail.com
    • Giờ làm việc: 08:30 – 19:30 (T2 – T7)

    DỊCH VỤ

    • iD-4 Implant
    • Nha khoa thẩm mỹ
    • Nha khoa tổng quát

    LIÊN KẾT NHANH

    • Về iD-4
    • iD-4 Guide
    • iD-4 Stackable Guide
    • iD-4 Ebook
    • Quy trình case lâm sàng
    • Quy trình CBCT Scan

    KẾT NỐI

    Facebook Zalo Twitter Youtube Instagram
    Nha Khoa Lê Hoàng
    © Copyright 2023. All Rights Reserved.
    • iD4 Solution
    • iD-4 implant
    • Dán sứ
    • Nha Khoa Tổng Quát
      • Răng Sứ Thẩm Mỹ
        • Dán sứ
        • Phục hình Inlay/Onlay
      • Điều trị tụt nướu chân răng
      • Điều trị cười lộ nướu
      • Điều trị nha chu
        • Phẫu thuật lật vạt làm sạch
        • Điều trị LASER HELBO
      • Điều Trị Tủy
      • Cạo Vôi Răng
      • Trám răng
      • Tẩy Trắng Răng
      • Hàm giả tháo lắp
      • Nhổ răng
    • Kết quả điều trị
      • Implant đơn lẻ
      • Nha khoa thẩm mỹ
      • Dán sứ
      • Điều trị tụt nướu chân răng
      • Bọc răng sứ thẩm mỹ
      • Điều trị cười lộ nướu
      • Điều trị nha chu
        • Điều trị LASER HELBO
        • Phẫu thuật lật vạt làm sạch
      • Nha khoa tổng quát
        • Cạo vôi răng
        • Điều trị tủy
        • Trám răng
        • Inlay/Onlay – Miếng trám sứ
    • Về iD-4
      • Kiến thức
        • Implant
        • Nha khoa tổng quát
        • Răng sứ
      • Bảng giá
        • Nha khoa thẩm mỹ
        • Nha khoa tổng quát
        • Trồng răng Implant
      • Đội ngũ
      • Liên hệ
    • zalo
    • facebook
    TƯ VẤN