NGUYÊN NHÂN PHỔ BIẾN GÂY NÊN TÌNH TRẠNG MẤT RĂNG
Mất răng không còn là vấn đề lớn nhờ công nghệ cấy ghép Implant hiện đại, phù hợp cho những ai mất răng đơn lẻ, nhiều răng hoặc mất hết răng. Tuy nhiên, không phải ai cũng biết được nguyên nhân của việc mất răng để có thể phòng ngừa hoặc điều trị khi gặp phải tình trạng này.
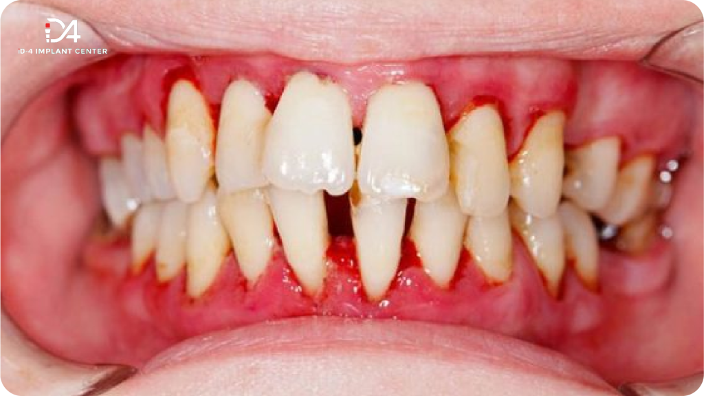
1. Bệnh Lý Nha Chu và Sâu Răng: Hai tình trạng này là nguyên nhân chính gây mất răng. Bệnh nha chu là một bệnh nhiễm khuẩn mạn tính, khi không được điều trị kịp thời sẽ phá hủy dây chằng nha chu và xương ổ răng, khiến răng lung lay và cuối cùng là mất răng.

2. Vệ Sinh Răng Miệng Không Đúng Cách: Thói quen vệ sinh răng miệng sai lầm cũng là nguyên nhân dẫn đến các bệnh lý về răng miệng và gây mất răng.
3. Tuổi Tác: Tỉ lệ mất răng ở người cao tuổi cao hơn so với các lứa tuổi khác, do tình trạng mảng bám và cao răng ở người lớn tuổi nghiêm trọng hơn rất nhiều, cùng với việc giảm khả năng tự vệ sinh răng, duy trì trong khoảng thời gian dài sẽ tạo điều kiện thuận lợi gây ra các bệnh lý khác và mất răng.

4. Thói Quen Hút Thuốc Lá: Thuốc lá làm suy yếu hệ miễn dịch trong khoang miệng, tăng nguy cơ viêm nướu, viêm nha chu và mất răng.
